予防歯科
歯周病
歯の表面についたプラーク(歯垢)の中にはたくさんのミュータンス菌がいます。
プラークを除去すれば、脱灰を引き起こす酸の量も少なくなります。
個人差がありますが、1日のプラークの付着量も関係してきます。
オーラルバイオフィルム
歯周病や虫歯を引き起こす元凶プラークこの白いねばねばは、さまざまな細菌が複雑にからまりあってできた集合体です。
しかし、通常の歯磨きやうがいだけでは、除去できない頑固なバイオフィルム状の構造体がこびりつきバリアーの役割をし、生体の防御メカニズムで細菌が排除されないばかりか、抗生剤や殺菌剤を局所的あるいは全身的に 投与しても効果はでません。
従ってブラッシング、スケーリング、ルートプレーニング等機械的方法でバイオフィルムを破壊することが歯周治療を行う上で重要なポイントとなります。
Q.プラークのつきやすいところはどこ?
自浄作用の行き届かない歯と歯の間や歯ぐきと歯の境から形成されます。
プラークコントロールをしにくくする因子歯頚部う蝕、過剰充填、冠の不適合,歯石、祖造歯根面露出、PMTC
PMTCとは
専門家による機械歯面清掃で患者さんがブラッシングでおぎなえないところを取り除いていきます。 歯面を研磨することにより、通常の口腔清掃では、歯と歯肉移行部にプラークが再形成されるのに1日~2日かかるのをさらに何日か遅らせることと量を減らせることができます。
3DS(歯周病や虫歯の予防に効果)
研磨後、患者さんにあったマウスピースを作り、それに薬液をいれ5分ほどお口にいれます。
歯ぐき中のフッ素イオンを定着させるようにしています。
唾液測定
唾液は脱灰の原因となる酸を中和し歯にミネラルを補給します。 量の多さや性質によっても関係してきます。
口臭測定
口臭の原因 歯周疾患,プラーク、う蝕、唾液分泌低下、不良補綴物、舌苔
カリエスリスクテスト
食事や歯磨き等生活習慣を問診し、唾液の量や虫歯の原因菌の数等測定します。
口腔乾燥測定
唾液分泌量低下や粘液亢進等関連して義歯の不適合プラークの粘調などあらわれます。義歯の方とか義歯がぬめってきたり痰がたまったり不快感をかんじます。唾液が少ない方は、オーラルウエットの湿潤洗口液やガムで唾液促進させ不快感をとれるよう指導します。
※重度のカリエスリスクがあるかたは、位相差顕微鏡や口腔内カメラでモチベイションをおこないます。
治療手順
歯垢の染め出し


本人がブラッシングできない場所 (歯と歯の間、歯の裏側、歯茎の境目など)に機械的清掃を行う。これにより、1日の歯垢の蓄積量を少なくしていくことができる。
プラークコントロール
・虫歯予防
・歯肉炎
・歯周病
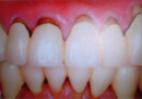
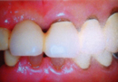
![]() |
![]() |
|
| 鏡を見てブラッシングをしてもらった状態。歯と歯茎の境目、歯と歯の間がまだ汚れています。歯と歯の間は、古い歯垢がついてくると虫歯になります。 | 機械的清掃、フッ素塗布、フッ化物配合洗口剤、フッ化ジェルを施すことにより、虫歯の脱灰の抑制と再石灰化プラーク内の酸産生菌が産出する酸に対する抵抗が増します。 |
夜寝る前にフッ素入りハミガキを使用することは、夜中は唾液の分泌率が減ることから、
口腔内液のエン下も減る。
このことから、歯磨剤の応用はフッ素貯蔵庫の働きをするわけです。



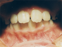
鏡を見て磨いても、なかなか取れませんでした。
ブラシをあてる圧力もどれくらいか教えなくてはいけません。

歯周炎や辺緑性歯周炎、虫歯が起こる前には必ずプラークの蓄積があります。あなたはどこから磨きますか?

歯垢の中にいる、あなたの虫歯菌がどれくらい元気かを頭に入れて下さい。
何分くらい歯を磨きますか?5分・・・、そうですか。
でも、歯ブラシがあたっていないところもありますね。
あなたが今まで気が付かないでやっていたブラッシングの癖を自分で知って下さい。


予防処置の基本原則は、もっとも疾患の発生する危険性の高いところも最も危険な歯に集中して口腔清掃を行います。
歯肉のふちに新しい歯垢が肉眼で確認できる程度に蓄積し始めるまでの時間は、清掃した場合12時間程度あります。
古い歯垢を取り除き、新しい歯垢の再蓄積速度を遅くさせることにより、歯肉炎や虫歯の予防に効果があります。

わが国では、1920年から食習慣の改善(砂糖の摂取制度)やブラッシングによる歯垢除去を中心とした虫歯予防が行われ、学校歯科保険活動においても甘味制度と食後のブラッシングに力が注がれていきました。
歯面清掃と糖質の摂取制限は「汚れたら掃除する、汚さないようにする」という考え方です。食後の歯磨きは「汚れたら掃除する」ということになりますし、最近の基準となる糖質の摂取制度は、歯垢を溜め込まないようにするということです。
ナノ粒子ハイドロキシアパタイト
歯石を取ったあとや定期的な矯正中研磨、ホワイトニングのあと、PMTCのあとなど歯面をきれいにしても、オーバーポリッシングにより、歯面は傷ついています。
歯石をとって、着色も取ってもらってきれいになったはずなのに、すぐ歯石が付いてしまったり、着色がついたりしていませんか?
ホワイトニングのあとすぐに色が戻ったり、しみたりしていませんか?
そんなときは歯面が傷ついている証です。 表面が傷ついていると、そこに汚れが埋まってしまったり、神経が過敏になったりします。
研磨によってブラッシングで落ちない汚れの膜(バイオフィルム)を機械的に取り除き、最後につや出しでナノ粒子ハイドロキシアパタイトの研磨剤で歯面の補修をすることによって、歯面がつやつやになり、舌触りも違ってくるのを実感してもらいたいと思います。
ナノ粒子ハイドロキシアパタイト配合の研磨剤は傷ついた歯面を補修してくれる役割があります。
ナノ粒子ハイドロキシアパタイトの効果

ナノハイドロキシアパタイト使用前の状態

歯質に浸透しやすい
ナノ粒子だからエナメル質になじみやすく浸透します
![]()

歯面をなめらかに
ナノ粒子ハイドロキシアパタイトが歯の表面を滑らかな状態にします
![]()

歯垢を吸着除去
プラークにからみつきすっきり取り除きます
口臭について
口腔内の口臭
1.口腔内の細菌増殖によるガス発生 2.口腔内生理機能の抑制、低下により自浄性が低下し細菌活動が上昇 3.口腔内乾燥
呼気由来の口臭
1.内科疾患、耳鼻科疾患 2.欝(うつ)など精神的要因による生活習慣の自律神経失調症候郡 3.先天性代謝異常
生理的口臭
1.起床時口臭、空腹時、緊張時、加齢に伴う口臭 2.飲食物嗜好物による口臭 にんにく、飲酒、薬 3.病的歯周病、口腔軟組織の炎症、舌苔等 4.口腔以外疾患、鼻疾患、呼吸器疾患、糖尿病、肝疾患
●アレルギー素因
花粉症やアトピーの粘膜性のアレルギーをもっている人 口呼吸になりやすい人はアルゲンを吸ったり口腔内の乾燥を引き起こし口臭の原因となります。 お口の粘膜が過敏になり乾燥しやすいので、界面活性剤入りの歯磨き粉は乾燥を増長させるので止めて、入っていないものを使ってみてください。またアルコールが入っている洗口剤 も気をつけてください。刺激はさけましょう。
●食後の口臭
口腔内細菌は安静時唾液が抑制される睡眠中に増殖 され朝起きた時細菌数が一番多く食後唾液で流され 少なくなります。歯磨きは寝る前と起きて食後は磨きましょう。そして嗽(うがい)は必ずして食物の残渣(ざんさ)はのぞいてください。
口臭を防ぐ方法
1.歯磨きが上手にできるようにしよう
歯間ブラシやフロスを併用しよう。刺激のないデンタルリンスで汚れを浮かせて磨きましょう。 正しいブラッシングと、自分の磨けない弱点を歯医者で教えてもらいましょう。
定期的にPMTCでプロに綺麗にしてもらいましょう。
2.舌を清潔にしよう
舌苔をタオルをかぶせた手で3~4回舌の先に向けてこすります。
しかし何回もやっては駄目です。舌の粘膜が剥離して痛みや味覚の変調をおこします。
3.食事はよくかんで よくかんで唾液の分泌力をアップさせましょう
唾液には、口の中の細菌を殺菌させる効力がありますよ。
よくかめば唾液の分泌量も増え自浄作用」できれい。
食後キシリトールガムどより唾液をだしましょう。
緑茶に含まれるフラボノイドカテキンも口臭予防効果ありですが、そんな1リットル以上もお茶を飲めませんよね。
でも食後飲む習慣のある人はいいとおもいます。
知ってました?これらは玉露や高級茶ほど含有量がすくないく、収穫の遅かったお手ごろなお茶に多いんですって。
4.ドライマウス 口呼吸や薬で口腔内が乾燥してしまい口臭がでます
ガムをかんで口呼吸を防ぎ唾液を分泌促進させましょう。1日何回かオーラルウェットのお口湿らせることができる無刺激の洗口剤で嗽(うがい)または、スプレー器にいれシュシュしましょう。
5.臭いを取る食べ物は?
レモン、梅干など酸性食品。緑茶、紅茶、コーヒー、また繊維質の多いセロリやレタスは食べかすを取り除く効果ありだよ。牛乳は胃の中でにんにくの臭いのもととアリシンを包みこむ。
唾液
唾液が大切なの知ってます?
円滑に食べ物を湿潤して呑み込みやすくします。
殺菌、抗菌作用で歯周病むし歯を防ぎます。
お口や粘膜を乾燥から防ぎ保護します。
食物が十分消化できるよう口で消化できるよう助けます。
酸性、アルカリ性食品を食べた後お口のなかで緩衝して中和します。
抗脱灰作用でむし歯で歯がとけていかないよう防ぎます。
唾液自浄で歯や粘膜に付着した食物残渣を洗いながします。
血液中の有害物質を排泄します。
唾液が減っちゃうとどうなるの?また減る原因は?
食事した時味覚が変わって味がしなくなったり変化します。
口内炎など治りにくくなります。
入れ歯の方は摩擦で入れ歯が痛くなったり、入れ歯が臭うようになったり、発音しにくくなったりします。
また入れ歯がぬめってねとねとしてきて細菌の温床になります。
咀嚼するとき咀嚼しにくくなり呑み込みにくくなります。
コーヒー、紅茶、緑茶は口臭予防になりますが、取りすぎは利尿作用があるため一時的に唾液の分泌が抑制されます。
噛む回数が減ると唾液腺の萎縮と分泌の低下をもたらせます。
それによりむし歯や歯周病をひきおこします。
ラウリル酸ナトリウムの入った歯磨き粉をたくさんつけて磨くと口腔乾燥の原因になります。
唾液は増加させられるんですか?
食事は見た目おいしそうと思うと唾液がでますよね。うめぼしをみながらご飯食べるって聞いたことありますが唾液を視覚で刺激してださせてるんですね。
また噛み応えのあるものをおかずにするといいです。
一口の量をへらしよく噛んでたべましょう。楽しくおしゃべりすることもいいです。口呼吸は意識してやめて安静唾液をだすようしましょう。キシリトールガムなど噛むこともひとつの手段です。
歯磨きの携帯セットを持ちましょう!
かばんの中に歯ブラシ、フッ素ジェル、デンタルフロス 手鏡、洗口剤。 これで1日食後の後どこでもできます。時間があれば 15分~20分時間作ってください。外出先であれば 何もつけないで丁寧に磨き、一度お口をゆすいでから フッ素ジェルで仕上げ磨きしてください。 こんなに時間とれないっていう方はさっと磨いた後洗口剤 30秒お口にふくんでうすいでください。 もっと時間ないって方は、洗口剤でうがいしてキシリトール のガムを15分噛んでください。 家に帰ってじっくり磨きましょう。何もしないよりまずは 行動して意識を高めましょうね。 それでスペシャルケアーとして3ヶ月に1回歯医者さんで きれいにしておきましょう。
キシリトール
とうもろこしやしらかば、かし等からとれる糖アルコールの一種で天然素材の甘味料。カロリーは砂糖の約75%お口の中は食事したあと酸性になり酸は歯のエナメル質 を少しずつとかして脱灰し虫歯になります。
キシリトールは中性にもどすことで再石灰化促進とむし歯の原因菌が酸を作りにくい状況にしてくれます。
お口が酸性に傾く食後に15分かみましょう。唾液をだすことでパロチンというホルモンも分泌してこれが歯周病にも効果あるということです。
はみがき・洗口剤
●はみがき
| 研磨剤 無水ケイ酸 研磨剤 |
エナメル質をきずつけてます。 わざわざヤニをつきやすくしています。 |
|---|---|
| 湿潤液 プロピレングリコール |
発癌性で吸収しやすいこれは化粧品やシャンプーにも入っています。保湿剤ですが肌の保湿ではなく商品の保湿としてつかわれているそうです。 |
| 洗浄発泡剤 ラウリル酸ナトリウム |
これは合成洗剤と同じ界面活性剤です。 プロピレングリコール、ラウリル酸ナトリウムは皮膚を通過細胞と血管へ進みます。それで経皮吸収をおこします。 これはガンやさまざまアレルギー、の原因だといわれてます。 |
最近味が変わったとか味覚おんちになっていませんか?
舌には味を感じる味雷細胞があります。はみがきはお口をゆすぐのですぐに味覚おんちにはなりませんが、 子供は味には非常に敏感なのが大人になるにつれて鈍感になっていきます。
子供は味を噛みしめて味をおぼえていく大切な時期 です。よく噛んで味を楽しめない大人にはしたくないですよね。味の濃いものばかりじゃ成人病の心配も。8回うがいしても合成界面活性剤が4,1PPm残留しています。動物実験では受精卵障害や成長障害が報告されています。
ラウリル酸ナトリウムって床磨き用洗剤や車の油 取りに使われているのって知っていましたか?これら入っていないものをさがしましょう。
●洗口剤
| 薬用成分 | 殺菌 |
|---|---|
| 塩化セチルピリジニウム(CPC) | 歯肉炎予防 |
| グルコン酸クロルヘキシジン | 歯周病予防、虫歯 |
| 塩化ベンゼトニウム | むし歯歯肉炎予防 |
| トリクロサン メントール |
歯肉炎口臭予防 |
| チモール 1,8シネオール |
肉炎口臭予防 |
| 薬用成分 | 消炎 |
| 銅クロロフィリンナトリウム | 口臭予防 |
| グリチルレチン酸ステアリル | 肉炎口臭予防 |
| 薬用成分 | 出血防止 |
| トラネキサム酸 | 出血防止 |
| 薬用成分 | 血液改善 |
| サリチル酸メチル | 歯肉炎予防 |
あまり頻繁にするとよくないので1週間つかったら1日休むとかしましょう。
頻繁だと口腔乾燥の引き金になります。あと菌交代現象もおこりお口のいつもいる菌が減って 違う菌が増えてしまうこともあります。
これだけに頼るより歯磨きの補助として考えましょう。できるだけエタノールフリーのものをつかってください。
子供の歯の磨き方
衛生士の言葉
乳歯は歯の質がやわらかくむし歯になりやすく、進行も早いため、むし歯の多発期と言えます。
特に上顎の前歯や下顎の奥歯がむし歯になりやすいので、気をつけなければいけません。
そのためには、しっかりと歯磨きをすることが大切になります。
子供自身が磨くことは習慣付けの点から好ましいのですが、十分にプラークを落とすことはできません。
そこで、お母さんやお父さんの仕上げ磨きが必要になります。
また、親による仕上げ磨きは、子供の歯ブラシとは別に仕上げ磨き用の歯ブラシでひざの上に寝かせ、指でしっかり唇をおさえ、歯がしっかり見えるようにして磨きましょう。
![]() |
■寝かせ磨き
子供をひざに寝かせ、上から口の中を覗き込むような姿勢をとり、あごを手で押さえながら磨きます |
![]() |
上の前歯 上唇裏の筋に歯ブラシが当たらないように、ひとさし指でガードしながら磨きます。 |
| 奥歯 ひとさし指で頬をふくらませて磨きます。 |

上:仕上げみがき用歯ブラシ
下:幼児用歯ブラシ(ライオン)
歯磨きを嫌がる子供にはまず、歯ブラシに興味をもたせるために、好きな色や形のものを持たせ、口の中に入れてしゃぶったり、咬ませることから始めてみましょう。乳幼児期の子供は人マネや物マネをして学習していく時期でもあるため、親や兄姉が歯磨きをするとマネして身に付くようにもなります。それでもだめな場合はガーゼによる清拭やうがい、水を飲ませるだけでも、何もしないよりは良いでしょう。
また、子供での歯磨き粉は気をつけましょう。歯磨き粉の成分のなかには、発泡剤であるラウリル硫酸ナトリウムという合成界面活性剤が入っているのですが、これは合成洗剤と同じもので、舌の細胞が損傷して味覚が変わってしまうので、気をつけましょう。
また、味が付いているイチゴ味やメロン味がするものは、有害な人工甘味料や着色剤・香料が入っています。基本的には、幼児にはハミガキ粉は不要です。
最近、スポーツドリンクを飲む習慣の子が増えてきていますが、その中にはかなりの糖分が含まれており、特に運動時には唾液の分泌も抑制されており、むし歯になりやすいので気を付けましょう。
おやつの時間を決めだらだら食べるのはやめましょう。口の中に常に食べ物がある状態になってしまい、口の中が酸性になってしまい、むし歯になりやすくなってしまいます。また、おやつと一緒にジュースを飲むのも良くありません。飲みのものは水かお茶にしましょう。
またフッ素を塗ることで歯の強化になり、むし歯に対する抵抗力も高めてくれます。そのため、当院では治療終了後や定期検診でケンマした後には必ずフッ素を塗っています。
また、カルシウム不足も歯を弱めてしまうので、永久歯が生えそろう前の子供や乳歯や永久歯の芽ができる妊娠期にもカルシウムを摂取を心掛けましょう。
緑茶・海草・牛肉・りんご・味噌・じゃがいも・紅茶・塩・イワシ
もう少し大きくなり、生えかわりの時期になると乳歯と永久歯が混在してくるので、歯の高さが不揃いになりがちです。特に第一臼歯が完全に生えるまでは、むし歯になりやすいので、気をつけて磨きましょう。
小学校4年生頃になると親の管理を嫌がったり自分でお菓子を食べるなどむし歯になりやすい時期なので、「自分の歯は自分で守る」自覚を持たせる工夫をすることが必要です。また、下の前歯の裏側は歯石が付きやすいので歯ブラシのかかとを使って1本ずつ磨くようにしてください。
付いてしまった歯石は歯磨きでは落とせないので、定期検診の時に除去していく必要があります。
一人一人年齢や生え方が違うので、その子に合った磨き方をみつけ、自分でしっかり磨けるようにできるまで何度も繰り返し指導していきます。
中学生以上の歯の磨き方
中学生から大人にかけて磨き方は自己流になってしまい、磨き残しが出来がち。
それは習慣になっている歯磨きの欠点です。 それを直すのは大変ですが、まず患者さん自身に意識を高めてもらうことを重視して指導していくことを心がけています。


【手順1】
歯ブラシを45°の角度に当てる。
(歯ブラシの毛先を歯と歯肉の境目に当てるのがポイント)
軽く歯ぐきを圧迫しながら、その場所で20~30回ぐらい、細かく振動させるように磨く。
(毛先がほとんど動かないようにするのがポイント)

【手順2】
歯ブラシを縦にして、歯ブラシのかかとで1本ずつ細かく振動させるように磨く。

【手順3】
歯ブラシを縦にして、歯ブラシのつま先で歯ブラシの柄を下の唇か歯に当たるまで立てて1本ずつ細かく振動させるように磨く。
このように丁寧に磨くと20分くらいかかるはずです。その時は、歯磨き粉なしか、つけるのであれば、米粒ぐらいで十分です。歯磨き粉の主成分は研磨剤でほとんどの歯磨き粉には入っているが、歯垢を取り除くには無関係です。 かえって発泡剤の成分であるラウリル硫酸ナトリウムは合成界面活性剤によって、舌を傷つけ味覚が変わる恐れがあります。
最初は鏡を見て歯ブラシがきちんと当たっているか確認しながら磨くと効果的です。また補助用具として、歯間ブラシやデンタルフロス、糸ようじを使いましょう。それから最後に水でマッサージするように歯の間や粘膜を繰り返しよくすすいで下さい。
夜、寝る前の時だけでも時間をかけて磨くと口の中はかなり改善されるはずです。
歯ブラシの選び方

歯牙3本分くらいの大きさで、普通の硬さのものを選びましょう。

毛先が開いたらとりかえましょう。
アンダーブラッシング・オーバーブラッシング
みなさんは、自分の歯を磨くときに、鏡を見て磨いていますか?
また、磨いた 後に歯や歯肉を見たりしていますか?
磨いているつもりでも、磨けていない所や磨きすぎているところはないですか?
よく「 磨いているつもりなんだけどねぇ 」と言われる人がいますが、磨いて いるつもりと、磨けているとは違うのです。
鏡で磨き終わった歯や歯肉を見てみると、磨いているつもりが、歯と歯肉の 境目に汚れが残っていたり、また磨きすぎて、歯肉が下がっている所は ないですか?
最初に磨き始める所やきき手の部位を磨きすぎたり、また磨きずらい所は、 汚れが残っていたりしやすいのです。 自分の歯や歯肉の状態を観察してみましょう。
| アンダーブラッシング | ブラッシングが不足していて磨き残しがある |
|---|---|
| オーバーーブラッシング | ブラッシングが過剰になっていて磨き過ぎの状態 |
アンダーブラッシングの特徴
- 歯と歯ぐきの境目に多くプラークが残っている
- 歯肉が赤く腫れている
- ブラッシング時間が短い
- 歯ブラシを長期間交換していない
アンダーブラッシング → 骨や歯がなくなる

オーバーブラッシングの特徴
- 歯と歯ぐきの境目にほとんどプラークがない
- 歯面がピカピカである
- ブラッシングの時間が長い
- 硬い歯ブラシを使用している
- 歯肉退縮や知覚過敏、歯がけずれている
- 歯ブラシの毛が短時間で開いてくる
オーバーブラッシング → 歯肉がなくなる


根が露出した患者さんがアンダーブラッシングになっていると、根面の虫歯のリスクが上がる

歯肉が下がってきている

左側がオーバー、右側がアンダー。 右利きのために左側がオーバーブラッシング気味 になっている
写真 歯科衛生士 5月号参照




